Cabinet d'Implantologie du
Dr CHAPELAIN
Chirurgie Dentaire & Implantologie à Carantec
Les Lundi, Mardi, Jeudi et Vendredi de 9h à 12h et de 14h à 17h30. Le Mercredi de 9h à 12h.
+33 2 98 29 03 01
41 - Rue du Maréchal Koenig, 29660 CARANTEC

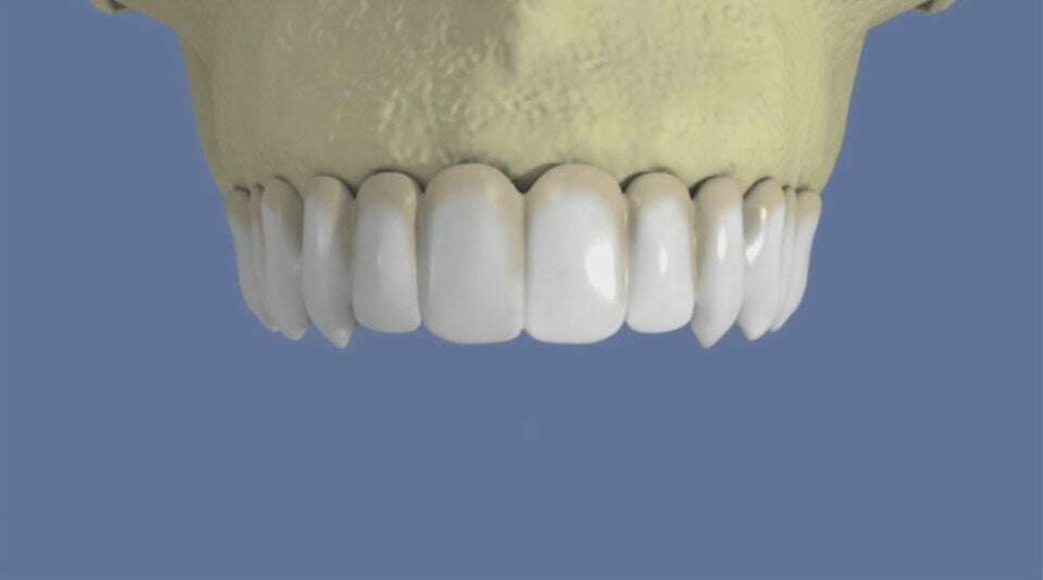
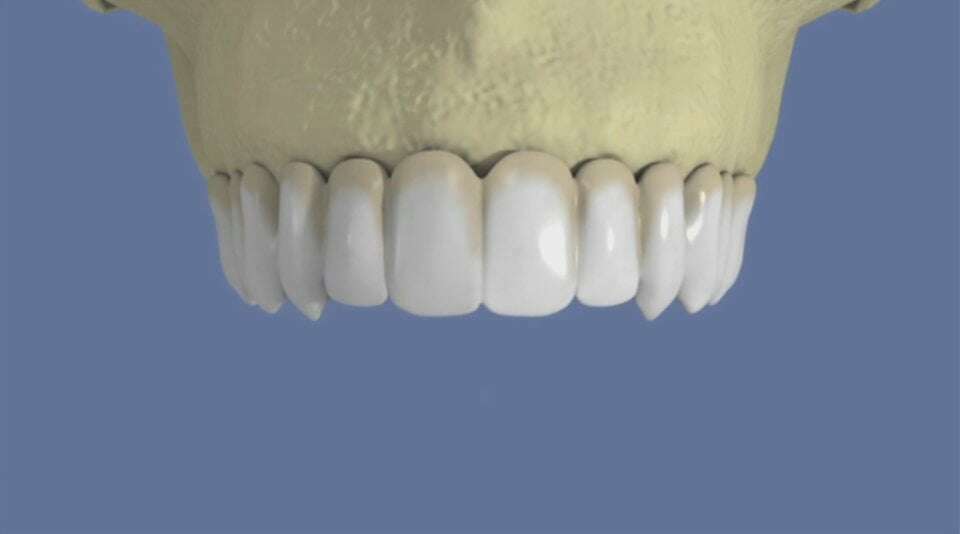
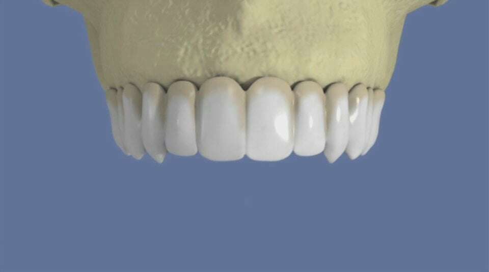
Maxillaire : bridge vissé sans fausse gencive


video-play-icon

Création par Webdentiste

Connexion